UROLITIASIS
Abril 2026
Imagenología en Urolitiasis: cómo la radiología define diagnóstico, tratamiento y seguimiento
La urolitiasis es una de las patologías urológicas más frecuentes y con mayor recurrencia clínica. La imagen médica no solo confirma la presencia de litos urinarios: hoy permite caracterizar su composición, evaluar su impacto fisiológico y orientar la estrategia terapéutica. Desde ultrasonido hasta Tomografía de Energía Dual, revisamos cómo cada modalidad contribuye a una evaluación diagnóstica integral.
Urología
Radiología
Directriz
Imagenología Diagnóstica
Categoría
Educación Médica
Autor
Max Joao Martínez Utrera
La urolitiasis representa un problema global de salud con una incidencia creciente tanto en países desarrollados como en economías emergentes. Se estima que 1 de cada 11 personas desarrollará cálculos urinarios al menos una vez en su vida, y cerca del 50% presentará recurrencia dentro de los 10 años posteriores al primer episodio.
El cuadro clínico clásico se manifiesta como dolor súbito e intenso en el flanco, frecuentemente acompañado de náuseas, vómito o hematuria. Sin embargo, un número considerable de casos se detecta incidentalmente en estudios de imagen realizados por otros motivos.
En este contexto, la radiología se ha convertido en el eje del manejo clínico: no solo confirma la presencia de cálculos, sino que permite estimar tamaño, localización, composición y repercusión funcional, variables críticas para decidir el tratamiento.
97% DE SENSIBILIDAD y 95% DE ESPECIFIDAD EN EL DIAGNÓSTICO
La tomografía computarizada simple (TC simple) se considera el estándar de oro para evaluar pacientes con sospecha de litiasis urinaria. Esta modalidad permite detectar incluso cálculos pequeños, definir su ubicación exacta y evaluar signos indirectos de obstrucción urinaria.
Además de confirmar el diagnóstico, la tomografía aporta información crítica para el manejo clínico:
carga litiásica total
densidad del cálculo
composición probable
impacto sobre el sistema colector
Estos datos ayudan a determinar si el paciente es candidato a manejo conservador, litotricia extracorpórea o intervención endourológica.

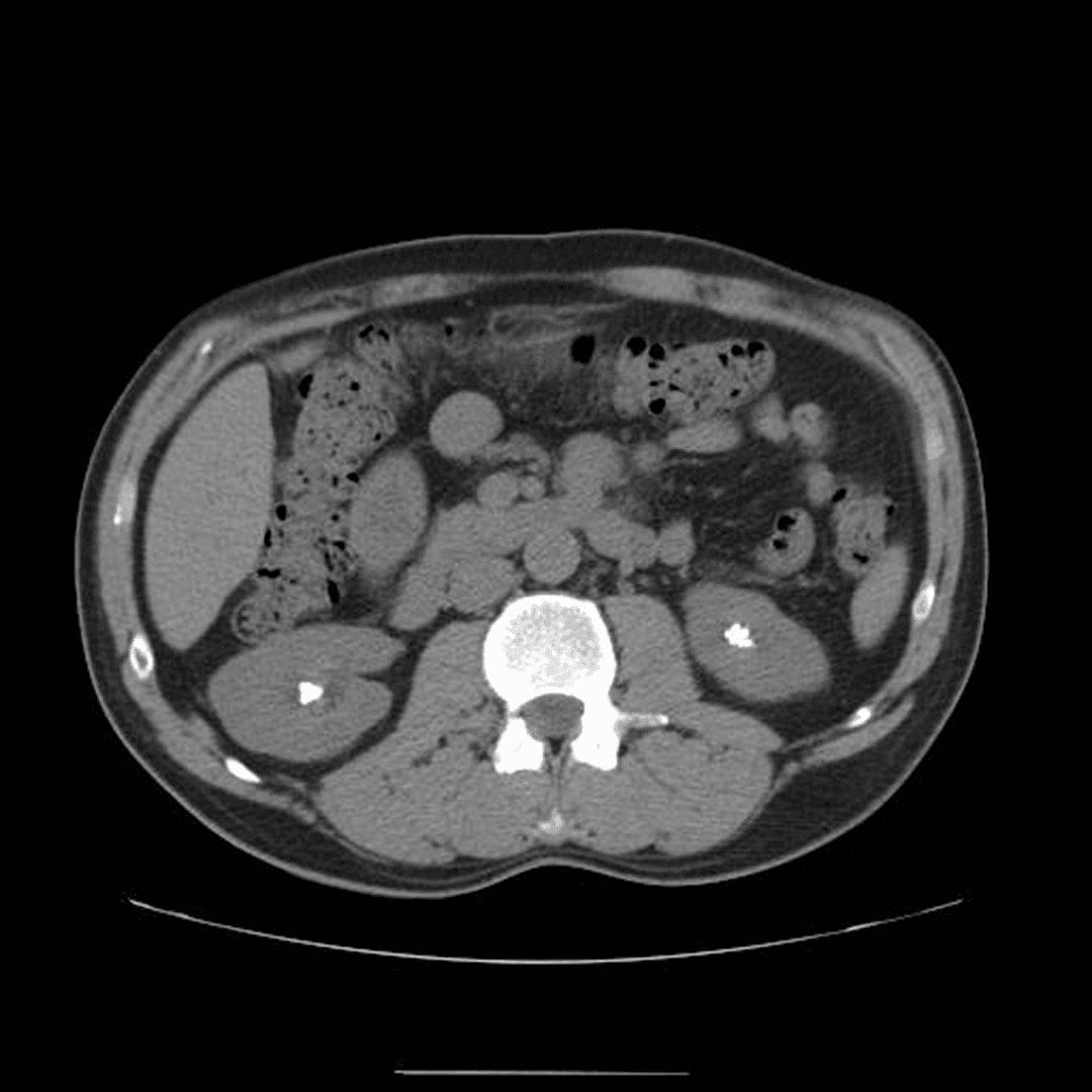
Tomografía computada de abdomen sin contraste en corte axial que muestra ambos riñones con morfología conservada y la presencia de litiasis hiperdensas localizadas en los cálices renales de manera bilateral. Los cálculos presentan una atenuación promedio de 1201 unidades Hounsfield (UH), hallazgo altamente sugestivo de composición rica en fosfato de calcio, uno de los subtipos de mayor densidad en urolitiasis. No se identifican signos de obstrucción urinaria asociados, como dilatación pielocalicial o cambios inflamatorios perirrenales, por lo que los hallazgos son compatibles con nefrolitiasis calicial bilateral no obstructiva.
Las innovaciones tecnológicas han ampliado el papel de la tomografía en urolitiasis.
La Tomografía de Energía Dual (TCED) permite diferenciar cálculos de ácido úrico de aquellos compuestos por calcio u otros minerales, sin aumentar significativamente la dosis de radiación.
Esta distinción tiene implicaciones terapéuticas relevantes:
cálculos de ácido úrico pueden tratarse con alcalinización urinaria
cálculos cálcicos suelen requerir manejo intervencionista
Más recientemente, la tomografía de fotón único (PCCT) promete mejorar la caracterización de los cálculos con menor dosis de radiación

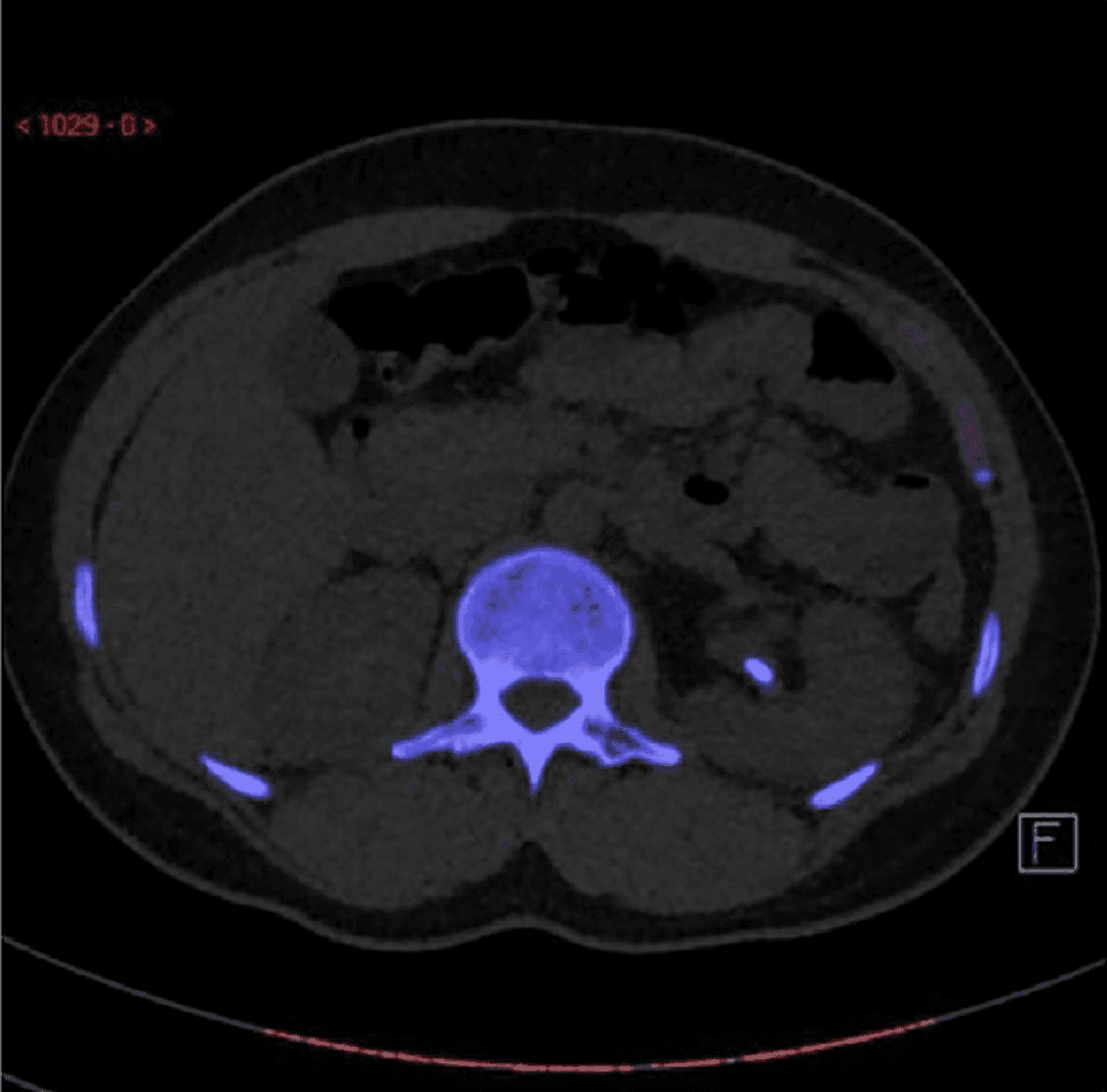
Tomografía computarizada de energía dual (DECT) en corte axial que muestra un cálculo localizado en el uréter proximal derecho, identificado mediante codificación espectral característica de los cálculos de ácido úrico. Esta técnica permite diferenciar de forma no invasiva entre litiasis de ácido úrico y cálculos cálcicos al analizar la atenuación del material a diferentes niveles de energía, información con implicaciones terapéuticas relevantes, ya que los cálculos de ácido úrico pueden responder a tratamiento médico mediante alcalinización urinaria.
El ultrasonido sigue siendo una herramienta fundamental, especialmente en embarazo, población pediátrica y seguimiento clínico.
Aunque su sensibilidad para detectar cálculos es menor que la tomografía (24–57%), presenta ventajas importantes:
ausencia de radiación
disponibilidad amplia
bajo costo
capacidad para evaluar hidronefrosis
En ultrasonido, los cálculos aparecen como estructuras hiperecogénicas con sombra acústica posterior, un hallazgo característico que orienta el diagnóstico.
El uso de Doppler color también permite identificar el artefacto twinkling, que incrementa la especificidad para detectar cálculos.

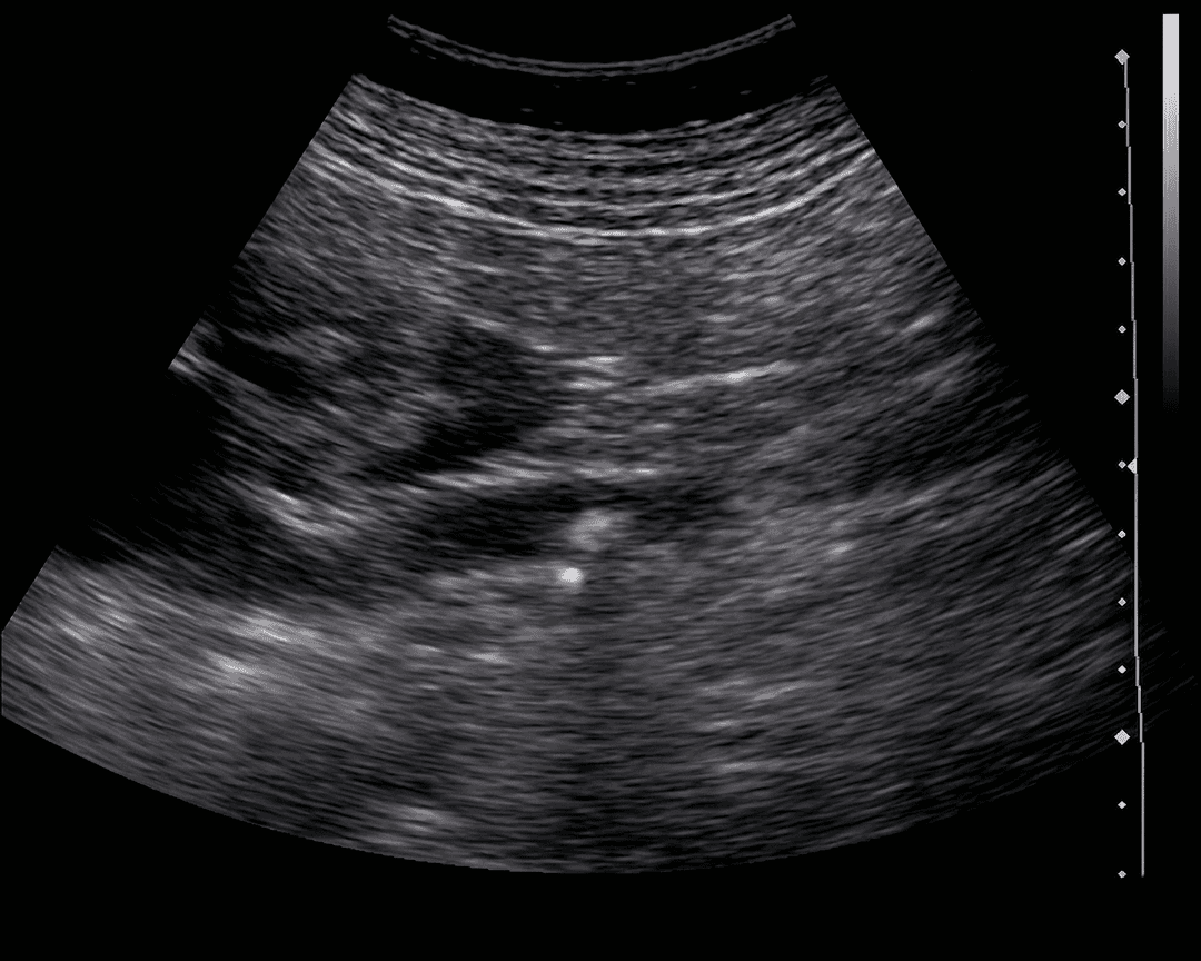
Ultrasonido renal realizado con transductor convexo que demuestra un foco hiperecogénico compatible con litiasis en el sistema colector, asociado a sombra acústica posterior, hallazgo característico de cálculos calcificados. Se observa además dilatación retrógrada del sistema pielocalicial (hidronefrosis), lo que sugiere obstrucción urinaria secundaria. El ultrasonido constituye una modalidad inicial ampliamente utilizada en la evaluación de urolitiasis, particularmente en pacientes pediátricos y embarazadas, permitiendo identificar tanto el cálculo como las repercusiones obstructivas sobre el riñón.
Más allá de confirmar la presencia de un cálculo, la imagen médica permite estratificar el riesgo clínico y orientar el tratamiento.
El tamaño del cálculo es uno de los factores más relevantes para la decisión terapéutica:
cálculos <5 mm tienen alta probabilidad de expulsión espontánea
cálculos >5 mm suelen requerir intervención urológica
La tomografía multidetector también permite evaluar variables adicionales de gran valor clínico:
distancia piel-cálculo (stone-to-skin distance)
densidad del cálculo
carga litiásica total
Estos parámetros ayudan a predecir la respuesta a litotricia y a seleccionar la estrategia terapéutica óptima.
En aproximadamente 55–60% de los pacientes con sospecha clínica de cólico renal, los hallazgos de imagen modifican el manejo terapéutico inicial.

LOS CÁLCULOS DE CALCIO SON EL 70–80% DE EL TOTAL DE CASOS
La composición del cálculo tiene implicaciones diagnósticas y terapéuticas importantes.
Las principales categorías incluyen:
cálculos de calcio (oxalato o fosfato): 70–80%
cálculos de estruvita: 5–15%
cálculos de ácido úrico: 5–10%
cálculos raros (cistina, xantina o medicamentos): <5%
La identificación de estas características mediante imagen permite anticipar el comportamiento clínico del cálculo y optimizar la estrategia terapéutica.

La evolución de la imagen médica ha transformado el abordaje de la urolitiasis.
Hoy, las modalidades avanzadas no solo detectan cálculos, sino que integran anatomía, composición mineral, impacto funcional y evolución clínica, permitiendo una medicina más precisa y personalizada.
El desafío actual consiste en equilibrar precisión diagnóstica con reducción de dosis de radiación, especialmente en pacientes jóvenes que requieren múltiples estudios a lo largo de su vida.
imaginai
La radiología moderna ha dejado de ser una herramienta confirmatoria para convertirse en un componente estratégico del manejo de la urolitiasis. Desde la detección inicial hasta la predicción terapéutica, la imagen médica define decisiones clínicas críticas y abre el camino hacia un diagnóstico cada vez más personalizado.
Referencia bibliográficas
Kambadakone AR, Eisner BH, Catalano OA, Sahani DV. New and Evolving Concepts in the Imaging and Management of Urolithiasis: Urologists’ Perspective. Radiographics. 2010;30(3):603–623.
Fulgham PF, Assimos DG, Pearle MS, Preminger GM. Clinical Effectiveness Protocols for Imaging in the Management of Ureteral Calculous Disease. Journal of Urology. 2013;189(4):1203–1213.


