GUÍA PRÁCTICA
25/03/2026
Angio-RM de la aorta: de la imagen estructural a la estratificación hemodinámica
Una guía práctica para entender cómo la resonancia angiográfica redefine la evaluación de la aorta al integrar anatomía, pared vascular, flujo y seguimiento longitudinal en enfermedad aórtica.
Angio-RM
Aorta
Directriz
Radiología cardiovascular
Categoría
Educación médica
Autor
Max Joao Martínez Utrera

En enfermedad aórtica, la imagen útil no es únicamente la que muestra el vaso, sino la que explica su comportamiento. La Angio-RM ocupa un lugar clínico muy preciso: no sustituye a la tomografía en la urgencia extrema, pero añade una capa diagnóstica decisiva cuando se requiere evaluar pared vascular, actividad tisular, flujo y evolución longitudinal. En ese terreno, la resonancia deja de ser una alternativa y se convierte en una herramienta de estratificación.
La íntima, la media y la adventicia no son solo capas anatómicas
Antes de interpretar hallazgos complejos, el radiólogo debe reconstruir mentalmente la arquitectura de la aorta. La ruptura de la íntima explica la disección. La hemorragia dentro de la media da origen al hematoma intramural. La erosión aterosclerótica que penetra hacia la media configura la úlcera penetrante. Esta lectura transforma la imagen en fisiopatología aplicada y permite entender por qué dos hallazgos aparentemente parecidos implican riesgos muy distintos.
La elección técnica condiciona el valor clínico del estudio. La 3D contrast-enhanced MRA ofrece alta resolución espacial para definir morfología, diámetros y trayecto vascular. La time-resolved MRA, en cambio, privilegia la dinámica del flujo y resulta especialmente útil para endoleaks y fenómenos hemodinámicos. Elegir bien la técnica no es un detalle operativo: es una decisión diagnóstica.


Una de las ventajas diferenciales de la RM es su capacidad para evaluar directamente la pared aórtica. Las secuencias T2-weighted vessel wall imaging permiten identificar edema inflamatorio y distinguir enfermedad activa de enfermedad tratada. En vasculitis activa, el engrosamiento mural acompañado de hiperintensidad T2 orienta a inflamación en curso; cuando la enfermedad ha sido tratada, el engrosamiento puede persistir, pero la señal inflamatoria disminuye. Esta diferencia cambia seguimiento, tratamiento y timing clínico.
El valor de la Angio-RM no termina al detectar una disección. Su mayor fortaleza aparece cuando permite clasificar, medir correctamente y entender consecuencias hemodinámicas. En disección aórtica, no basta con identificar el flap: importa definir si existe compromiso de aorta ascendente, qué lumen perfunde ramas viscerales, si el falso lumen permanece permeable y cómo se distribuye el flujo. Esa información es la que separa una descripción anatómica de una lectura clínicamente accionable.
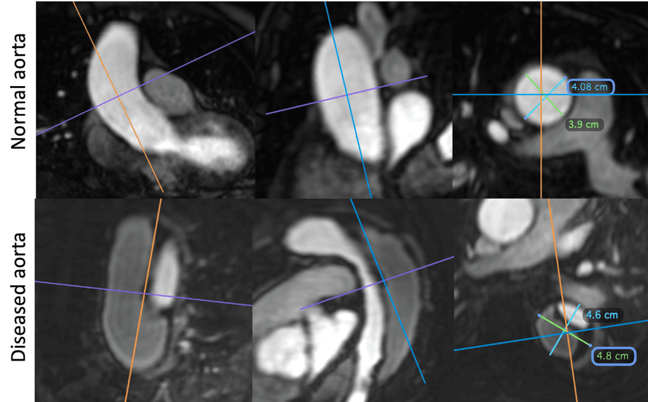
Un diámetro mal medido puede cambiar una decisión quirúrgica.
Las mediciones aórticas deben realizarse perpendiculares al eje longitudinal del vaso mediante reconstrucciones doble-oblicuas. En pared normal, el criterio recomendado es inner-to-inner; en enfermedad mural, outer-to-outer. Esta precisión técnica evita sobreestimaciones, mejora comparabilidad entre estudios y sostiene decisiones terapéuticas con mayor consistencia. En escenarios especiales, además, la RM ofrece una ventaja crítica: puede evaluar aneurisma, hematoma intramural o disección incluso cuando el contraste yodado está contraindicado, como en insuficiencia renal avanzada o alergia a contraste.

La evolución más prometedora en imagen aórtica es la incorporación de 4D Flow. Esta tecnología permite visualizar trayectorias tridimensionales del flujo, estimar gradientes de presión y analizar turbulencia en injertos, aneurismas y aortas reparadas. Su valor no es futurista: ya empieza a modificar la forma en que entendemos estenosis, endoleaks y riesgo evolutivo. En pacientes jóvenes, en síndromes del tejido conectivo y en seguimiento postintervención, la Angio-RM reúne una combinación difícil de igualar: precisión anatómica, caracterización tisular, evaluación funcional y ausencia de radiación acumulativa.
imaginai
La Angio-RM de la aorta no compite con la tomografía en todos los escenarios; la complementa allí donde la anatomía por sí sola ya no basta. Su verdadero valor aparece cuando la imagen ayuda a distinguir actividad inflamatoria, perfusión diferencial, dinámica del falso lumen y comportamiento del flujo. En enfermedad aórtica, leer mejor no significa ver más. Significa anticipar mejor.


