ACV AGUDO
Abril 2026
Del criterio temporal al criterio tisular: cómo las nuevas guías redefinen el papel del radiólogo en ACV agudo
La imagen en ACV ya no solo confirma el diagnóstico: decide tratamiento. Este análisis editorial revisa cómo AHA/ASA 2026, ACR 2024 y el nuevo marco de atención regional desplazan el eje del reloj hacia la viabilidad tisular, ampliando la ventana terapéutica y elevando el rol del radiólogo como árbitro de la reperfusión.
Stroke Imaging
Teleradiología
Directriz
Neurorradiología
Categoría
Insight Clínico
Autor
Max Joao Martínez Utrera
Durante años, el ACV agudo se explicó con una consigna simple: actuar antes de que cierre la ventana temporal. Las guías recientes no abandonan esa lógica, pero sí la refinan. La decisión ya no depende solo de cuántas horas han transcurrido, sino de cuánto tejido cerebral conserva viabilidad. Ese giro convierte a la imagen en una herramienta decisoria y al radiólogo en un actor terapéutico central.
EL TEJIDO TAMBIÉN VOTA
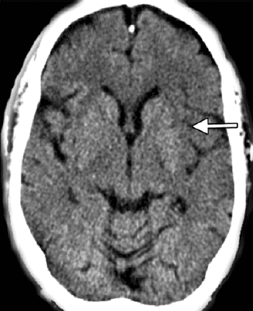
La expansión de la selección por imagen consolida un cambio de paradigma: ya no basta con detectar hipodensidad, oclusión o edema. Hoy se espera que la imagen distinga entre núcleo isquémico establecido, penumbra recuperable y escenarios en los que intervenir puede cambiar el pronóstico funcional del paciente.
El informe radiológico deja de ser una descripción retrospectiva del evento. Ahora define elegibilidad terapéutica, orienta trombólisis o trombectomía en ventanas extendidas, y exige lectura integrada de TAC simple, angioTAC, perfusión y, cuando corresponde, RM multiparamétrica. La interpretación ya no es solo diagnóstica: es estratégica.


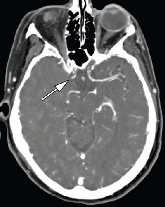
En la práctica, esto exige una secuencia operativa clara: TAC sin contraste para descartar hemorragia y detectar signos tempranos, angioTAC para identificar oclusión de gran vaso y estudios de perfusión o RM para valorar tejido recuperable. La calidad del desenlace depende cada vez más de la calidad y velocidad de esa cadena.
La actualización internacional formaliza varias transiciones que ya estaban emergiendo en la evidencia: mayor peso de la selección por imagen, ampliación de criterios para trombectomía en escenarios antes excluidos, incorporación de recomendaciones pediátricas y reconocimiento de nuevos modelos prehospitalarios como las Unidades Móviles de Ictus. En paralelo, los criterios ACR sostienen la necesidad de protocolos de imagen estandarizados y decisiones rápidas, basadas en evidencia.
EL RADIÓLOGO ES GATEKEEPER TERAPÉUTICO
La diferencia entre penumbra y núcleo, entre mismatch real y falsa irreversibilidad, o entre un mimic y un infarto verdadero, ya no es una sutileza académica. Es la frontera entre tratar o no tratar. Por eso, la neurorradiología de ACV exige lectura contextual, dominio de pitfalls y protocolos institucionales que soporten decisiones de alto impacto clínico.

El nuevo estándar favorece a los servicios capaces de integrar rapidez, precisión y consistencia. En teleradiología, esto implica responder con seguridad en interpretación de perfusión, ASPECTS, oclusiones complejas y hallazgos que modifican elegibilidad. En centros de alta especialidad, implica además automatización volumétrica, lectura multimodal y una estrategia tecnológica coherente con el nuevo peso decisorio de la imagen.
imaginai
El tiempo sigue siendo cerebro. Pero en el ACV contemporáneo, la última palabra la tiene el tejido. Y quien interpreta esa voz, con criterio clínico y precisión visual, es el radiólogo.



