RADIOLOGÍA PRONÓSTICA
23/03/2026
MERIS: El Score de RM que supera a la Histopatología en el Pronóstico del Hepatocarcinoma Solitario
El dilema de la curación aparente sigue marcando la práctica clínica del carcinoma hepatocelular solitario ≤ 5 cm. Muchos pacientes llegan a cirugía con un tumor aparentemente favorable y, aun así, presentan recurrencia temprana. MERIS (MRI-based Early Recurrence Individualized Score) cambia esa conversación: integra morfología y biología funcional en resonancia magnética para detectar agresividad tumoral antes del acto quirúrgico. Más que describir una lesión, permite anticipar su comportamiento.
Radiology Strategy
Oncologic Liver MRI
Directriz
Innovación Diagnóstica
Categoría
Radiología / Oncología Hepática
Autor
Vireli Franco

Durante años, el pronóstico del hepatocarcinoma se consolidó después de la cirugía. El tejido hablaba al final del proceso. Pero en tumores solitarios ≤ 5 cm, esa lógica deja una zona ciega: la recurrencia puede aparecer incluso cuando la resección fue exitosa y los márgenes son limpios. MERIS nace precisamente para resolver esa incertidumbre preoperatoria. Al apoyarse en RM con gadoxetato, el modelo capta heterogeneidad tumoral completa y cambios hemodinámicos peritumorales in vivo, antes de que el bisturí toque al paciente.
BIOLOGÍA FUNCIONAL
La fortaleza de MERIS está en interpretar señales que trascienden la morfología simple. No solo mide el tumor: lee su comportamiento. En ese cambio de enfoque, la resonancia deja de ser una herramienta descriptiva y se convierte en una plataforma pronóstica.
MERIS combina variables clínicas y radiológicas con peso pronóstico claro: AST > 29.5 IU/L (+2), tamaño tumoral en centímetros (+1 por cm), margen tumoral no liso (+2) e hipointensidad peritumoral en fase hepatobiliar (+3). Juntas, estas variables permiten construir un riesgo individualizado de recurrencia temprana y distinguir tumores aparentemente pequeños pero biológicamente agresivos.


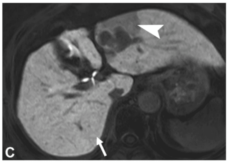
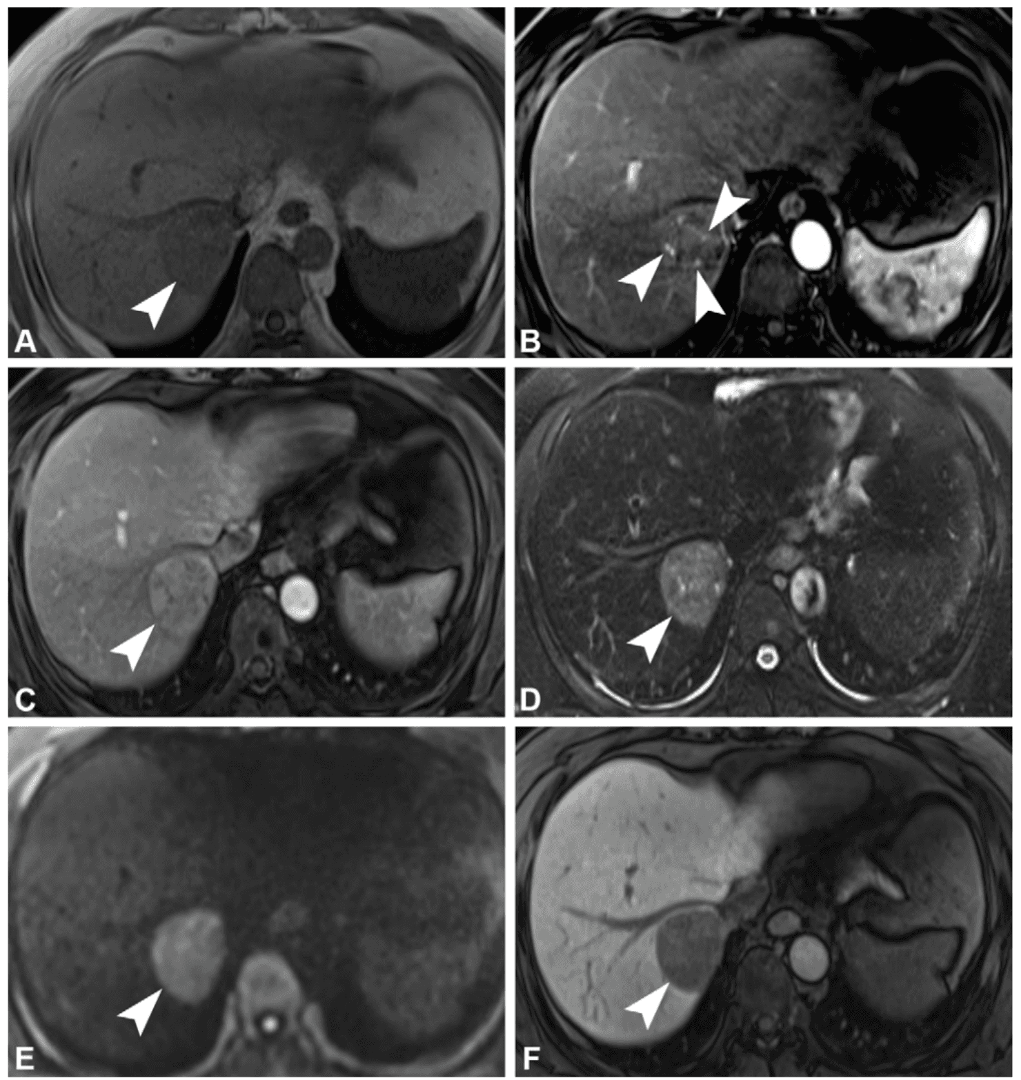
La hipointensidad peritumoral en fase hepatobiliar es el hallazgo más robusto del modelo. Su presencia sugiere alteración de transportadores OATP vinculada a obstrucción de vénulas portales por células tumorales. En términos clínicos, es una señal funcional de invasión microvascular antes de que ésta sea visible al microscopio.
En la validación externa, MERIS alcanzó un C-index de 0.75, por encima del modelo basado en patología PERIS (0.67), y también superó a sistemas tradicionales como BCLC y CLIP en esta población de CHC pequeños. Esto importa porque, en tumores con rango de tamaño estrecho, la sola morfología deja de ser suficiente para explicar el pronóstico. MERIS introduce una lectura más fina: la agresividad tumoral puede estar escrita en la imagen mucho antes del reporte histológico.
LESIÓN PEQUEÑA ≠ RIESGO BAJO
Uno de los errores más frecuentes es asumir que una lesión ≤ 2 cm representa automáticamente bajo riesgo. Otro es concentrar el análisis solo en el nódulo tumoral y omitir la zona peritumoral en fase hepatobiliar. Justo ahí reside buena parte del valor pronóstico real de MERIS.

La utilidad real de MERIS aparece cuando transforma la discusión terapéutica. Un score acumulado > 5 identifica al grupo de alto riesgo: la probabilidad de permanecer libre de recurrencia a 2 años cae de 87.4% en bajo riesgo a 59.3% en alto riesgo. Este dato puede reordenar la estrategia: ampliar la resección, discutir una resección anatómica, considerar trasplante primario o priorizar vigilancia y terapias adyuvantes con mayor precisión.
imaginai
En el CHC solitario, la gran pregunta ya no es únicamente si el tumor puede resecarse. La pregunta correcta es qué tan probable es que vuelva. MERIS responde desde la imagen, antes de la patología, y por eso redefine el valor clínico de la RM en 2026.


