DIAGNÓSTICO DIFERENCIAL RADIOGRÁFICO
Abril 2026
Radiografía de manos en artritis inflamatoria y sus imitaciones: cómo leer patrones que cambian el diagnóstico
Una radiografía simple de manos sigue siendo una herramienta decisiva cuando el reto no es solo detectar anormalidad, sino reconocer el patrón correcto. En artritis reumatoide, artritis psoriásica, osteoartrosis erosiva, Enfermedad de depositos de pirofosfato de calcio dihidratado, gota, lupus y esclerosis sistémica, la distribución articular, el tipo de erosión, la mineralización ósea y los cambios de partes blandas permiten orientar el diagnóstico con un nivel de precisión que sigue siendo clínicamente muy útil. Este artículo traduce la revisión científica en una guía editorial práctica para radiólogos y residentes, con énfasis en hallazgos diferenciales, errores frecuentes y perlas de lectura que ayudan a no confundir entidades con manejo y pronóstico muy distintos.
Artritis inflamatoria
Radiografía de manos
Directriz
Alta Especialidad
Categoría
Educación médica
Autor
Max Joao Martínez Utrera
En la práctica diaria, pocos estudios concentran tanto valor clínico como la radiografía de manos cuando el motivo de consulta es dolor, rigidez, tumefacción o sospecha de artritis periférica. Su disponibilidad, bajo costo y capacidad para mostrar distribución articular, mineralización, erosiones, subluxaciones y alteraciones de partes blandas la convierten en la primera modalidad de imagen en pacientes con dolor de manos y muñecas. La revisión de Ezzati y Pezeshk subraya que el verdadero rendimiento del estudio no depende solo de ver anormalidades, sino de reconocer patrones: qué articulaciones están afectadas, cómo son las erosiones, si existe osteopenia yuxtaarticular, si hay periostitis, calcificaciones o deformidades reducibles. Esa lectura estructurada permite estrechar el diagnóstico diferencial entre artritis reumatoide, artritis psoriásica, osteoartrosis erosiva, artropatía por CPPD, gota, lupus eritematoso sistémico, esclerosis sistémica e incluso artritis séptica.
ABCDES: ALIGNMENT, BONES, CARTILAGE, DENSITY, EROSIONS, SOFT TISSUE
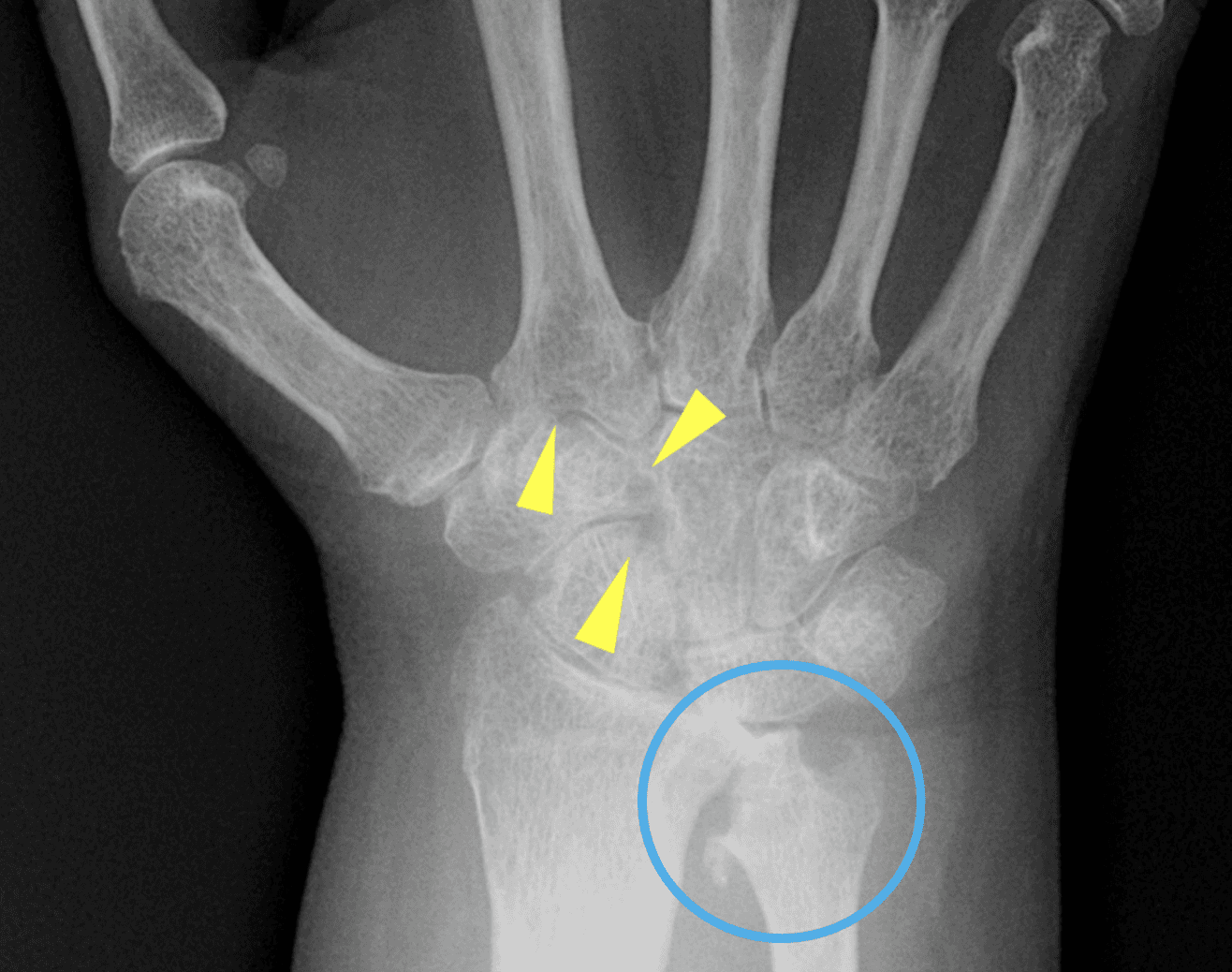
Uno de los aportes más útiles del artículo es recordar la lectura sistemática con el esquema ABCDES: alineación, huesos, cartílago, densidad mineral, erosiones y partes blandas. Esta secuencia obliga a evaluar subluxaciones y desviaciones; destrucción ósea o lesiones; pérdida de espacio articular; osteopenia focal o difusa; patrón erosivo; y tumefacción o calcificaciones. Más que una regla mnemotécnica, funciona como una forma de traducir una imagen aparentemente sencilla en un razonamiento radiológico reproducible. En enfermedades inflamatorias, omitir un solo componente puede cambiar la interpretación: una erosión marginal en MCP no pesa igual que una erosión central en DIP; una mano con disminución de mineralización no cuenta la misma historia que otra con mineralización conservada y proliferación ósea.
La tabla comparativa del artículo resume una idea central: cada entidad tiene una geografía preferente. La artritis reumatoide predomina en MCP y carpo, con afección inusual de las DIP; la artritis psoriásica compromete sobre todo interfalángicas y con frecuencia las DIP; la osteoartrosis erosiva se concentra en interfalángicas, especialmente DIP; la CPPD favorece MCP y radiocarpiana en una distribución “incorrecta” para osteoartrosis primaria; la gota puede ser poliarticular asimétrica con masas tofáceas y erosiones bien definidas; y el lupus típicamente produce deformidad sin erosión. En otras palabras, el primer paso del diagnóstico diferencial no es la erosión, sino el mapa articular.

La revisión también delimita con claridad el alcance del método. En artritis reumatoide temprana, las radiografías tienen baja sensibilidad para detectar erosiones iniciales, y el artículo recuerda que ultrasonido y resonancia magnética con contraste son más sensibles para valorar inflamación cuando las placas son normales. Ese punto es clave: una radiografía normal no excluye enfermedad inflamatoria temprana, pero una radiografía bien interpretada puede orientar fuertemente el patrón cuando ya existen cambios estructurales. Así, la radiografía simple conserva enorme valor como estudio de entrada y como herramienta de seguimiento, aunque no debe confundirse con una prueba de exclusión en fases iniciales.
En artritis reumatoide, el patrón clásico combina tumefacción fusiforme y simétrica de partes blandas, osteopenia yuxtaarticular, erosiones marginales tempranas en cabezas metacarpianas y bases proximales de falanges, progresión a pinzamiento articular uniforme y deformidades por inestabilidad ligamentaria, como subluxación cubital en MCP. La preservación relativa de las articulaciones DIP es una pista mayor. En artritis psoriásica, por el contrario, la mineralización suele mantenerse, predominan las interfalángicas, la dactilitis aparece en cerca del 25% de los pacientes y las erosiones marginales progresan a deformidad tipo pencil-in-cup; además, la periostitis y la proliferación ósea ayudan a separarla de artritis reumatoide. La osteoartrosis erosiva, frecuente en mujeres mayores de 60 años, muestra erosiones centrales con configuración en gull-wing o seagull, con afectación predominante de DIP y respeto habitual de MCP. La artropatía por CPPD introduce otro lenguaje: condrocalcinosis en fibrocartílago triangular y ligamentos del carpo, osteofitos en gancho en la segunda y tercera cabezas metacarpianas y cambios degenerativos en una distribución no típica para osteoartrosis primaria. La gota, en cambio, combina masas de partes blandas por tofos, mineralización conservada, erosiones bien definidas con borde escleroso y márgenes colgantes; además, los cambios radiográficos pueden tardar en aparecer en promedio entre 7 y 10 años. Finalmente, el lupus eritematoso sistémico suele manifestarse con subluxaciones y deformidades reducibles sin erosiones, mientras que en esclerosis sistémica la acroosteólisis y las calcificaciones de partes blandas dominan la imagen.

15%, 25%, 5%, 7–10 años, 40–80%, 10–30%
El valor del artículo también está en las cifras que orientan la sospecha clínica. En artritis psoriásica, la artritis puede preceder a las manifestaciones cutáneas hasta en 15% de los casos, lo que vuelve a la imagen especialmente valiosa cuando la clínica dermatológica aún no es evidente. La dactilitis aparece en aproximadamente 25% de los pacientes y la artritis mutilante en cerca de 5%, por lo que su identificación no es anecdótica, sino diagnóstica. En gota, los hallazgos radiográficos suelen tardar en hacerse visibles en promedio 7 a 10 años, y durante una crisis aguda el ácido úrico sérico puede ser normal hasta en un tercio de los pacientes; ambos puntos previenen falsos negativos por exceso de confianza en laboratorio o radiografía temprana. En esclerosis sistémica, la acroosteólisis se reporta en aproximadamente 40–80% de los casos y las calcificaciones digitales en 10–30%, cifras que explican por qué estos hallazgos deben buscarse de manera activa cuando hay sospecha clínica.
El error más común es diagnosticar por un solo hallazgo aislado. Ver erosiones en DIP y concluir artritis reumatoide es una trampa clásica: en adultos, la preservación de DIP favorece mucho más ese diagnóstico que su afectación. Otro error frecuente es llamar osteoartrosis primaria a una mano con cambios degenerativos en MCP y radiocarpiana, cuando esa distribución debe hacer pensar en CPPD. También es fácil confundir erosiones centrales de osteoartrosis erosiva con erosiones marginales de artritis psoriásica, o pasar por alto que el lupus puede deformar de forma llamativa sin ser erosivo. En escenarios monoarticulares, el artículo recuerda un principio que conviene mantener siempre presente: la artritis séptica es diagnóstico de exclusión y no debe omitirse, especialmente cuando hay dolor, tumefacción y erosiones limitadas a una sola articulación. La consecuencia de estos errores no es solo semántica. Cambia el abordaje clínico, el tratamiento, el seguimiento y la urgencia diagnóstica.
imaginai
La radiografía de manos sigue siendo una tecnología modesta solo en apariencia. Bien leída, funciona como una cartografía diagnóstica de alta densidad clínica: muestra no solo qué articulaciones están enfermas, sino cómo se comporta la enfermedad. Para el radiólogo y el residente, dominar estos patrones significa reportar con mayor precisión, priorizar mejores diferenciales y comunicarse con más valor frente a reumatología, medicina interna y urgencias. En una era de imagen avanzada e inteligencia artificial, este conocimiento no pierde relevancia; al contrario, se vuelve la base sobre la cual cualquier sistema inteligente deberá aprender a razonar.

REFERENCIA BIBLIOGRÁFICA:
Ezzati, F., & Pezeshk, P. (2022). Radiographic findings of inflammatory arthritis and mimics in the hands. Diagnostics, 12(9), 2134.


