DIAGNÓSTICO DE PRECISIÓN
Abril 2026
Diferenciar corazón de atleta vs patología con RM y TC: una decisión de riesgo, pronóstico y retorno al deporte
En cardiología del deporte, la diferencia entre remodelado fisiológico y enfermedad estructural no siempre se resuelve en el ecocardiograma. La resonancia magnética y la tomografía computarizada permiten distinguir adaptación del atleta, miocarditis, miocardiopatías y anomalías coronarias con impacto directo en estratificación de riesgo y decisiones clínicas. El reto ya no es solo ver más. Es interpretar mejor.
RM cardíaca
TC cardíaca
Directriz
Radiología cardiovascular
Categoría
Innovación diagnóstica
Autor
Max Joao Martínez Utrera

El corazón del atleta puede parecer patológico sin estar enfermo. Y, en sentido inverso, una enfermedad con potencial arrítmico puede esconderse detrás de hallazgos que aparentan adaptación al entrenamiento. Ese es el punto de tensión en la cardiología del deporte: distinguir remodelado fisiológico de patología estructural con precisión suficiente para influir en el pronóstico y en el retorno a la actividad. El algoritmo clínico sigue una ruta conocida —historia, exploración física, ECG y ecocardiografía—, pero cuando el ecocardiograma es inconcluso o no explica el contexto clínico, la imagen avanzada cambia el nivel de la conversación. Ahí es donde RM y TC dejan de ser complementarias y se convierten en decisivas. La relevancia es tangible: la muerte súbita cardíaca es 2.5 a 4.5 veces más frecuente en atletas jóvenes; la miocardiopatía hipertrófica explica alrededor del 36% de los casos y las anomalías coronarias cerca del 19%.
DEL ECOCARDIOGRAMA INCONCLUSO A LA DECISIÓN CLÍNICA
El paper plantea con claridad que la evaluación preparticipación y la valoración del atleta sintomático deben escalar a imagen avanzada cuando los hallazgos iniciales son anómalos, limítrofes o discordantes con la clínica. La RM aporta geometría, función y caracterización tisular. La TC aporta definición anatómica coronaria con alta precisión. No responden preguntas distintas: responden la misma pregunta desde dos planos complementarios. ¿Estamos frente a una adaptación segura o frente a una enfermedad con riesgo de evento?
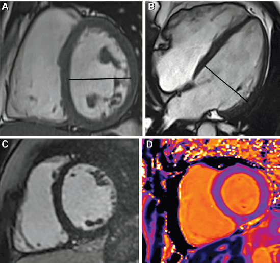
En el atleta, la RM es la herramienta más robusta para distinguir adaptación fisiológica de miocardiopatía o inflamación. Permite evaluar grosor parietal, relación masa-volumen, función biventricular, edema, fibrosis y cicatriz. En el remodelado fisiológico, la hipertrofia suele ser concéntrica, típicamente menor de 16 mm, con proporcionalidad estructural, ausencia de LGE y valores tisulares conservados. En cambio, la presencia de LGE, edema o alteraciones segmentarias obliga a abandonar la etiqueta de “corazón de atleta” como explicación automática. Incluso en zonas grises, la proporcionalidad importa más que el grosor aislado.


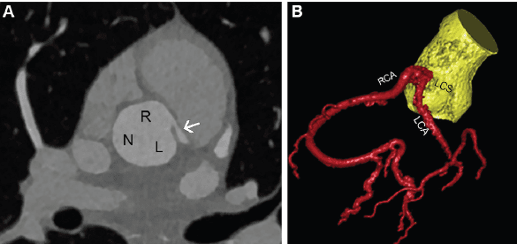
La TC cardíaca es especialmente valiosa cuando la pregunta clínica apunta a coronarias: anomalías congénitas, trayectos interarteriales o enfermedad aterosclerótica en atletas mayores. El artículo remarca que la angiografía por TC es altamente precisa para evaluar anomalías coronarias y enfermedad coronaria, y que en atletas master el territorio coronario se vuelve central porque la enfermedad aterosclerótica pasa a ser la principal causa de muerte súbita. En este grupo, la TC no solo diagnostica: también estratifica riesgo.
El gran reto no es detectar un corazón grande, un ventrículo dilatado o una pared engrosada. El reto es interpretar si ese hallazgo está en armonía con el tipo de entrenamiento, la función ventricular y la caracterización tisular. El paper es consistente en este punto: el remodelado inducido por ejercicio se reconoce por la proporcionalidad. La hipertrofia adaptativa suele ser concéntrica y menor de 16 mm. La dilatación fisiológica puede acompañarse de fracción de expulsión normal o levemente reducida, pero con respuesta funcional conservada y sin fibrosis significativa. La dilatación del ventrículo derecho, cuando es fisiológica, es global, no segmentaria, y sin alteraciones mayores de la motilidad regional.
FIBROSIS, EDEMA Y CORONARIAS ANÓMALAS NO SON HALLAZGOS MENORES
Dos escenarios del paper concentran el mayor valor narrativo del blog. Primero, la miocarditis: la combinación de LGE subepicárdico o mesomiocárdico con elevación de T1 y T2 cumple criterios de Lake Louise y redefine temporalidad, riesgo y retorno al deporte. Segundo, las anomalías coronarias: el origen anómalo con trayecto interarterial e intramural puede ser silente en reposo, pero volverse crítico durante el ejercicio. El artículo subraya que estas anomalías se asocian con un riesgo 79 veces mayor de arritmia con el esfuerzo. Esa es la diferencia entre una imagen interesante y una imagen clínicamente decisiva.

La integración adecuada de RM y TC mejora la certeza diagnóstica, ordena la derivación clínica y fortalece la conversación multidisciplinaria con cardiología del deporte. Este no es un terreno donde baste con describir cavidades, diámetros o realce. Aquí la imagen participa en decisiones de restricción, vigilancia, retorno al deporte y prevención de muerte súbita. En un entorno donde la inteligencia artificial y la cuantificación seguirán ganando espacio, la interpretación clínica seguirá siendo el factor diferencial. La tecnología detecta patrones. El criterio radiológico decide qué significan para ese atleta, en ese contexto, en ese momento.
imaginai
En cardiología del deporte, la imagen avanzada no entra al final del proceso: entra justo cuando el caso exige precisión real. La RM diferencia tejido, la TC define anatomía y ambas, bien interpretadas, permiten separar adaptación de enfermedad con impacto directo en riesgo, pronóstico y retorno seguro a la actividad. Ese es el valor estratégico de la radiología actual: transformar un hallazgo en una decisión clínica mejor.


